Ce este un meningiom?
Meningiomul este o tumoră primară a sistemului nervos central care apare din stratul meningeal ce învelește creierul și măduva spinării.
Aceste tumori sunt cele mai frecvente neoplazii cerebrale: aprox. 37,6% din tumorile primare ale creierului sunt meningioame pubmed.ncbi.nlm.nih.gov , aans.org.
Ele apar cel mai adesea la adultul în vârstă (vârsta medie la diagnostic este ~66 de ani) aans.org și sunt de 2-3 ori mai frecvente la femei decât la bărbați mayoclinic.org.
Majoritatea meningioamelor cresc lent și, de regulă, sunt benigni (grad I), cu potențial redus de invazie sau metastază pubmed.ncbi.nlm.nih.gov , en.wikipedia.org.
Totuși, în 7–10% din cazuri tumorile pot fi atipice (grad II) sau maligne/anaplazice (grad III), cu risc crescut de recidivă şi complicații en.wikipedia.org , aans.org.
Indiferent de grad, meningiomul exercită presiune asupra țesuturilor cerebrale sau nervilor adiacenți, ceea ce poate genera simptome neurologice.
| Puncte Cheie | Descriere |
|---|---|
| Definiție | Tumoră benignă care se dezvoltă lent, în membranele creierului (meninge) |
| Incidență | Mai frecvent la femei, vârsta 40-70 ani |
| Localizare | De obicei emisfera cerebrală |
| Simptome | Dureri de cap, convulsii, pierderea vederii/auzului, paralizii |
| Diagnostic | Examen RMN sau CT |
| Tratament | Îndepărtare chirurgicală |
| Evoluție | De obicei favorabilă, cu dispariția treptată a simptomelor |
| Monitorizare | Necesară, risc de recidivă |
| Malignizare | Rar |
Rata de supravietuire cu meningiom
| Tip | Rata supraviețuire 5 ani | Rata supraviețuire 10 ani |
|---|---|---|
| Meningioame benigne | ||
| Copii 0-14 ani | Peste 95% | – |
| 15-39 ani | 97% | – |
| Peste 40 ani | Peste 87% | – |
| Meningioame maligne | ||
| Toate vârstele | Peste 66% | Peste 59% |
Concluzii:
- Meningioamele benigne au rate foarte bune de supraviețuire pe termen lung
- Chiar și meningioamele maligne au rate relativ bune de supraviețuire la 5 și 10 ani
- Copiii sub 14 ani au cele mai bune prognostice
- Factorii individuali influențează semnificativ prognosticul.
- Rezecția completă a tumorii crește considerabil șansele de supraviețuire.
Tipuri de meningiom
Clasificarea meningiomului se face conform criteriilor Organizației Mondiale a Sănătății (OMS), pe baza aspectului histologic și, din 2021, și pe baza unor markeri genetici moleculari. cancer.gov , pubmed.ncbi.nlm.nih.gov.
Principalele grade sunt:
- Gradul I (benign) – reprezintă ~90% din meningioame. Include subtipuri histologice cu creștere lentă precum meningotelial (cel mai frecvent), fibros (fibroblastic), tranzitoriu (mixt), psamomatos, angioproliferativ, microcistic, secretor, etc. en.wikipedia.org , aans.org. Aceste tumori nu invadează de obicei creierul și au prognostic favorabil.
- Gradul II (atipic) – constituie ~7–10% din meningioame. Sunt caracterizate prin modificări celulare moderate (mai multe mitoze, celule atipice) și pot invada creierul adiacent en.wikipedia.org , aans.org. Exemple includ: meningiomul chordoid, clear-cell şi cele cu invazie cerebrală. Rata de recidivă locală este mai mare decât la gradul I.
- Gradul III (anaplazic/malign) – reprezintă ~2–3%. Subtipuri tipice sunt papillomatos şi rabdoid. Aceste tumori sunt agresive, cu celule foarte pleomorfe, creștere rapidă şi invazie cerebrală extinsă en.wikipedia.org , aans.org. Au risc ridicat de recidivă şi metastază. (Trebuie menționat că majoritatea meningioamelor „maligne” se limitează la cutia craniană, iar metastazele extracraniene sunt rare.)
Tabelul următor rezumă clasificarea după gradul OMS și caracteristicile principale:
| Grad OMS | Subtipuri histologice (exemple) | Frecvență aproximativă & comportament |
| I | meningotelial, fibros, tranzitoriu, psamomatos, angioproliferativ, microcistic, secretor, etc. | ~90%; creștere lentă, prezintă rar recidivă, prognostic favorabil. |
| II | cordoid, clear-cell, atipic (inclusiv cu invazie cerebrală) | ~7–10%; creștere moderată, risc crescut de recidivă locală, prognostic intermediar. |
| III | papillomatos, rabdoid (anaplazic) | ~2–3%; creștere rapidă, invazivă, recidivă frecventă, supraviețuire redusă. |
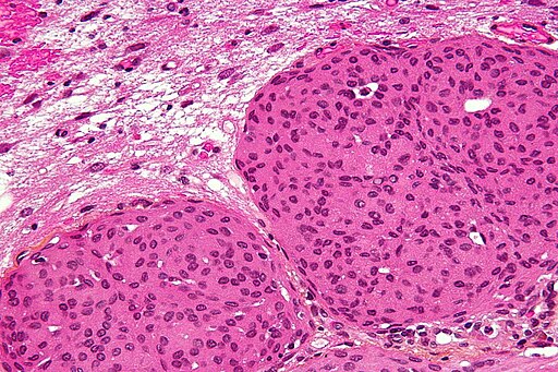
Microfotografie histopatologică (colorație H&E) a unui meningiom atipic (OMS gradul II) cu invazie cerebrală. Celulele tumorale formează „whorluri” caracteristice (corpurile psamomatoase pot fi vizibile ca depozite calcice). Spre margine se observă țesut cerebral invadat (în dreapta imaginii). – Nephron, CC BY-SA 3.0 <https://creativecommons.org/licenses/by-sa/3.0>, via Wikimedia Commons
Examenul histopatologic este necesar pentru confirmarea diagnosticului şi stabilirea gradului tumorii. La meningioamele de grad II şi III se observă anomalii celulare mai evidente (mitoze multiple, invazie cerebrală, pleomorfism) în comparaţie cu formele benigne en.wikipedia.org.
În plus, clasificarea OMS din 2021 a introdus criterii moleculare: de exemplu, prezența mutațiilor în promotori telomerazici (TERT) sau ștergerea genelor CDKN2A/B poate urca un meningiom în gradul III indiferent de aspectul histologic pubmed.ncbi.nlm.nih.gov.
Simptome și semne clinice
Simptomele meningiomului apar, de obicei, treptat și depind de localizarea și dimensiunea tumorii.
Deoarece tumora crește încet, multe cazuri sunt asimptomatice inițial și pot fi depistate întâmplător la o imagistică. Când apar simptome, acestea reflectă fie efectul de masă cerebral (compresiune locală), fie iritația cortexului sau afectarea nervilor cranieni.
Printre cele mai frecvente simptome se numără:
- Cefalee – dureri de cap persistente, uneori mai intense dimineața sau la modificarea poziției, din cauza hipertensiunii intracraniene.
- Convulsii (crize epileptice) – apar frecvent la meningioamele de la nivelul convexității corticale, datorită iritației mecanice a cortexului cancer.gov.
- Tulburări vizuale – în cazul tumorilor situate pe marginea frontală sau în fosa posterioară, pot apărea diplopie (vedere dublă), scăderea câmpului vizual sau pierderea parțială a vederii mayoclinic.org , cancer.gov. De asemenea, meningioamele supraselare pot afecta nervii optici.
- Modificări senzoriale și motorii – în funcție de localizare, pot surveni amorțeli, furnicături sau slăbiciune musculară la nivelul brațelor / picioarelor.
- Tulburări auditive – tumori la nivelul unghiului ponto-cerebelos pot cauza pierderea auzului unilateral sau tinitus.
- Modificări ale olfactivului – meningioamele de pe lamele orbitofrontale pot afecta nervul olfactiv și simțul mirosului.
- Schimbări cognitive sau ale personalității – în unele cazuri, mai ales tumorile frontale, pot determina modificări ale dispoziției, memoriei sau comportamentului.
- Simptome nespecifice: greață, vărsături, oboseală, dificultate de concentrare.
Lista de mai sus nu e exhaustivă, ci sugerează că simptomatologia este variabilă. Practic, orice semn neurologic nou (cefalee inexplicabilă, convulsii noi etc.) la un adult merită investigat imagistic.
Având în vedere că meningioamele sunt adesea „tumori silențioase”, este recomandat ca persoanele peste 40 de ani să efectueze investigații imagistice precum RMN cerebral, chiar în absența unor simptome îngrijorătoare.
Un RMN cerebral in clinica Biomed Scan vă poate ajuta să depistați din timp prezența unui eventual meningiom, permițând instituirea tratamentului în faze incipiente și creșterea șanselor de vindecare !
Cauze și factori de risc
Cauzele exacte ale meningiomului nu sunt pe deplin înțelese, însă au fost identificați câțiva factori care cresc riscul de apariție:
- Radiații ionizante – expunerea la radiații, în special tratamente radioterapice anterioare în zona capului (de exemplu pentru alte tumori), crește semnificativ riscul de meningiom. Expuneri mai mici (ex: radiografii dentare frecvente) sunt și ele asociate cu risc mai mare mayoclinic.org , aans.org.
- Predispoziții genetice – sindromul neurofibromatozei de tip 2 (NF2), o afecțiune ereditară, determină pierderea genei NF2 pe cromozomul 22; în ~50% din meningioame se găsește o mutație în gena NF2. en.wikipedia.org , aans.org. Pacienții cu NF2 au risc înalt de a dezvolta multipli meningiomi.
- Factori hormonali – meningioamele sunt mult mai frecvente la femei, sugerând un rol al hormonilor sexuali. Au fost raportați receptorii de progesteron pe celulele meningiomului; unele studii sugerează că terapia cu estrogeni/progesteron poate stimula creșterea tumorii mayoclinic.org. Legătura cu cancerul de sân și cu terapia de substituție hormonală este investigată, însă claritatea cauzalității lipsește.
- Obezitate – datele epidemiologice arată o incidență crescută a meningiomului la persoanele supraponderale/obeze, însă mecanismul nu e bine stabilit. mayoclinic.org.
- Alți factori: vârsta înaintată (incidența crește după 65 ani) aans.org, sexul feminin, și expuneri profesionale (de exemplu, substanțe chimice) sunt menționate, dar dovezile sunt mai limitate. În general, majoritatea meningioamelor apar sporadic, fără o cauză identificabilă clar.
Prevenția specifică nu este posibilă (altă decât limitarea expunerii inutile la radiații). În lipsa factorilor modificabili clar, depistarea precoce bazată pe simptome sau screeningul celor cu NF2 rămân principalele modalități de intervenție timpurie.
Complicații
-
Edem cerebral – acumularea de lichid în jurul tumorii poate duce la creșterea în volum a țesutului cerebral și comprimarea structurilor adiacente.
-
Herniere cerebrală – deplasarea structurilor cerebrale cauzată de presiunea crescută din interiorul craniului. Poate fi fatală dacă nu este tratată urgent.
-
Hidrocefalie – acumularea anormală de lichid cefalorahidian în ventriculele cerebrale. Poate cauza dureri de cap severe și leziuni cerebrale.
-
Convulsii / crize epileptice – datorate iritației în anumite zone ale creierului.
-
Infecții – meningită, abcese cerebrale, osteomielită după intervenția chirurgicală.
-
Leziuni ale structurilor adiacente – nervi, vase de sânge, os cerebral.
-
Transformare malignă – rareori, meningioamele benigne se pot transforma în forme canceroase.
-
Deces – complicațiile severe netratate pot duce la deces.
Riscul apariției complicațiilor crește odată cu dimensiunea tumorii și cu întârzierea tratamentului. Depistarea și intervenția precoce sunt esențiale pentru prevenirea efectelor secundare grave.
Metode de diagnostic
Diagnosticul unui meningiom se bazează pe imagistică și confirmare histopatologică.
Un examen uzual este rezonanța magnetică (RMN) cerebrală. RMN-ul este „standardul de aur” pentru vizualizarea meningiomului. pubmed.ncbi.nlm.nih.gov.
Tumora apare ca o formă extra-axială (la periferia creierului), ce captează intens substanța de contrast (gadoliniu) și adesea prezintă un semn de coadă durală – îngroșare și intensificare a duramei adiacente cancer.gov , cancer.gov.
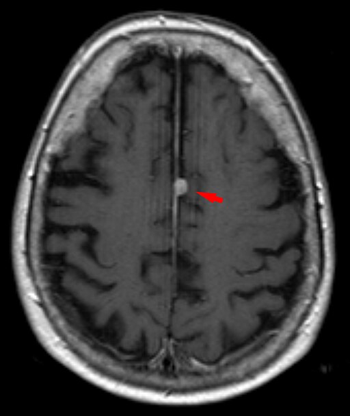
În figura următoare se vede un meningiom parasagital care captează intens contrast:
Hellerhoff, CC BY-SA 3.0
RMN axial T1 cu gadoliniu – se observă o formațiune rotundă bine delimitată pe linia mediană (săgeata roșie) care preia uniform contrast, tipic pentru meningiom. Tumora este atașată de dura și deformează ușor parenchimul cerebral adiacent. (Hellerhoff, CC BY-SA 3.0 <https://creativecommons.org/licenses/by-sa/3.0>, via Wikimedia Commons).
RMN-ul poate evidenția și efectul de masă (edem peritumoral, deplasarea structurilor cerebrale) și este util în planificarea tratamentului.
Tomografia computerizată (CT) poate arăta calcificări frecvente în meningiom şi invazie osoasă (în stânca temporală, schelet cranian), dar RMN-ul rămâne modalitatea de elecție datorită rezoluției superioare a țesuturilor moi pubmed.ncbi.nlm.nih.gov.
Pentru confirmarea definitivă se efectuează biopsie sau excizia chirurgicală a tumorii, urmate de examen histopatologic. Neuropatologul analizează probele la microscop și stabilește diagnosticul și gradul (prin criterii ale OMS).
Astfel, diagnosticul final se bazează pe criterii anatomopatologice.
Clasificarea finală OMS se face după aspect microscopic (prezența mitozelor, invaziei cerebrale etc.), dar include și elemente moleculare (de exemplu, mutațiile genei TERT și ștergerea CDKN2A/B acum definesc automat gradul III) pubmed.ncbi.nlm.nih.gov.
Alte metode auxiliare pot include angiografie cerebrală, pentru a evalua vascularizația tumorii, și teste de laborator (în general necaracteristice).
În practica curentă, examenul neurologic și imagistica RMN (și eventual CT) furnizează cele mai multe informații clinice preoperatorii.
Opțiuni de tratament
Tratamentul meningiomului depinde de gradul tumorii, mărimea ei și de simptomele pacientului.
Principalele opțiuni sunt supravegherea activă, chirurgia, radioterapia şi, în cazuri selecte, terapia medicamentoasă sau monitorizarea imagistică.
- Supraveghere activă („wait-and-see”): Pentru tumorile mici, asimptomatice și cu creștere lentă (în special meningioame grad I la pacienți vârstnici), se poate opta inițial doar pentru monitorizare periodică prin RMN. Multe meningioame benigne cresc atât de încet încât nu necesită tratament imediat pubmed.ncbi.nlm.nih.gov , mayoclinic.org. Riscul progresiei este evaluat prin RMN/CT la intervale regulate, iar intervenția chirurgicală se ia în considerare dacă tumora devine simptomatică sau crește rapid.
- Chirurgia: Este tratamentul de elecție pentru majoritatea meningioamelor simptomatice sau mari pubmed.ncbi.nlm.nih.gov. Scopul intervenției este rezecția completă a tumorii (craniotomie și excizie tumorală), dacă este posibil fără afectarea funcției neurologice. Îndepărtarea completă (tumoră + dură de implantare) oferă cele mai bune șanse de vindecare, mai ales la tumorile de grad I. După operație, se obține țesut pentru examinare histopatologică. Riscurile operatorii includ: sângerare, infecție, deficit neurologic postoperator, dar și posibile complicații ale anesteziei.
- Radioterapia: Se aplică de obicei adjuvant (după chirurgie) sau ca tratament primar (dacă rezecția chirurgicală nu e completă sau nu este posibilă). După chirurgia unui meningiom atipic (grad II) sau malign (grad III), radioterapia externă este frecvent recomandată pentru a reduce riscul de recidivă cancer.gov , mayoclinic.org. În cazul tumorilor reziduale sau recurente de grad înalt, radiațiile țintite (fascicul extern) sporesc controlul local al bolii.
- Radiochirurgia stereotactică (SRS): Este o formă de radioterapie foarte precisă ce livrează doze mari de radiații din mai multe unghiuri, fără incizie. SRS (de ex. Gamma Knife sau VMAT) se poate folosi la tumori meningiomale mici, inaccesibile chirurgical (ex. șanțul orbito-sfenoidal) sau la recăderi localizate. Avantajul este că se efectuează de obicei într-o singură ședință (sau câteva fracții) şi este bine tolerată mayoclinic.org. Radiochirurgia poate fi alternativă la craniotomie când riscurile chirurgicale sunt mari.
- Terapia medicamentosă (chimioterapia / terapii țintite): În prezent nu există terapii medicamentoase standard aprobate pentru meningiom. Chimioterapiile convenționale nu au arătat eficacitate relevantă. Cercetările actuale evaluează molecule țintite: inhibitori ai receptorilor hormonali, analogi ai somatostatinei (ex. octreotid, pentru tumori cu receptori SSTR), inhibitori de calea PI3K/AKT/mTOR (everolimus) sau inhibitori de kinaze (e.g. vimsodegib – inhibitor SMO în meningiomul cu mutații de tip KLF4; abemaciclib – inhibitor CDK etc.) pubmed.ncbi.nlm.nih.gov , braintumor.org. De asemenea, există studii clinice cu imunoterapii (inhibitori PD-1/PD-L1, CTLA-4) în meningioamele recurente de grad înalt braintumor.org , braintumor.org. Aceste tratamente sunt însă exploratorii şi nu fac parte din standardul terapeutic curent, utilizându-se în general doar în cadrul studiilor clinice.
- Suport și reabilitare: Indiferent de tratament, pacienții pot avea nevoie de terapie de susținere: anticonvulsivante (dacă au avut crize), terapie fizică, cognitivă sau reabilitare logopedică, în funcție de deficitele neurologice reziduale. Managementul durerii și al tulburărilor de dispoziție face parte din abordarea multidisciplinară.
Tabel. Opțiuni terapeutice principale în meningiom
| Tratament | Indicații principale |
| Supraveghere activă | Meningioame mici, asimptomatice, de obicei grad I, cu creștere lentă; pacienți în vârstă / fragili, cu riscuri chirurgicale mai mari. |
| Chirurgie (craniotomie) | Tumori simptomatice sau mari (indiferent de grad), când se poate obține rezecție totală sau subtotală. |
| Radioterapie externă | După rezecție incompletă; la meningiom atipic/malign (grad II/III) ca terapie adjuvantă; la recidive locale. |
| Radiochirurgie stereotactică (SRS) | Meningiom unic, de volum mic (<3 cm), inoperabil sau rezecat subtotal, în special locații profund craniene; recurențe limitate. |
| Terapie medicamentosă | Studii clinice; cazuri de meningiom refractar grad II/III; pot include analogi ai somatostatinei, inhibitori moleculari. |
Planul de tratament se stabilește individual, într-o echipă multidisciplinară (neurochirurg, oncolog, radiolog, patolog), luând în considerare beneficiul potențial și riscurile fiecărei opțiuni.
De exemplu, un meningiom benign, mic și asimptomatic poate fi doar monitorizat, în timp ce un meningiom atipic mare, infiltrativ, va necesita intervenție rapidă (chirurgie + radioterapie).
Prognostic și șanse de recuperare
Prognosticul depinde în principal de gradul histologic și de succesul rezecției. În general, meningioamele benigne (OMS grad I) au prognostic foarte bun.
Supraviețuirea la 5 ani după diagnostic este de aproximativ 85–90% pentru meningiomul benign braintumor.org. Rata de recidivă locală după rezecție totală poate fi sub 10% la formațiunile grad I. După intervenție completă, mulți pacienți rămân fără boală pe termen lung.
Pentru meningioamele atipice (grad II), riscul de recidivă este mai mare. Supraviețuirea la 5 ani scade (studii raportează valori în jur de 60–75%), iar recidiva locală apare la aproximativ 30–40% dintre cazuri după 5–10 ani aans.org. Gradul II necesită adesea radioterapie postoperatorie pentru a îmbunătăți controlul local.
În cazul meningioamelor maligne/anaplazice (grad III), prognosticul este rezervat. Rata de supraviețuire la 5 ani scade la ~30–65% pubmed.ncbi.nlm.nih.gov , cancer.gov. (NCI raportează ~63,5% supraviețuire la 5 ani pentru totalul formelor de grad înalt cancer.gov, în timp ce alte surse arată chiar 32–64% doar pentru cele transformate malign pubmed.ncbi.nlm.nih.gov.) Aceste tumori recidivează frecvent local și pot metastaza rar. Chimioterapia în aceste cazuri nu e foarte eficientă, de aceea se bazează pe chirurgie repetată și radioterapie intensivă.
Mulți factori influențează prognosticul: vârsta pacientului, localizarea tumorii (ex. meningiomul petroclival are prognostic mai rezervat din cauza dificultății rezecției), gradul OMS, precum şi extensia rezecției chirurgicale (rezecția completă conferă supraviețuire mai mare) pubmed.ncbi.nlm.nih.gov , cancer.gov. De asemenea, pierderile genetice (ex. CDKN2A/B) sau anomalii moleculare pot indica un risc de recidivă mai ridicat pubmed.ncbi.nlm.nih.gov.
Reabilitarea funcțională poate restabili o calitate bună a vieții majorității pacienților cu meningiom.
Dacă tumora este tratată eficient, simptomele (de ex. convulsiile) pot fi controlate, iar morbiditatea poate fi minimizată. Totuşi, unele complicaţii post-tratament (de exemplu, deficit neurologic sau modificări cognitive) pot persista și necesită terapie de susținere pe termen lung.
Cercetări recente și direcții noi în tratamentul meningiomului
În ultimii ani, cercetarea asupra meningiomului a avansat semnificativ, în special în domeniul genetic și molecular, care promite să îmbunătățească diagnosticul și tratamentul.
Câteva direcții de interes:
- Profil molecular și clasificare nouă: Noua clasificare OMS 2021 introduce markeri genetici importanți. De exemplu, mutațiile în promotori telomerazici (TERTp) și delețiile CDKN2A/B ridică automat un meningiom în gradul III pubmed.ncbi.nlm.nih.gov. Localizarea tumorii corelează cu anumite mutații (meningioamele convexității au frecvent ștergere 22q/NF2, în timp ce cele bazale au mutații AKT1, TRAF7, SMO) pubmed.ncbi.nlm.nih.gov. Toate acestea permit înțelegerea mai fină a comportamentului tumorii și individualizarea tratamentului.
- Semnătură genică prognostică: Un studiu recent din 2023 a identificat un set de 34 de gene al căror profil de expresie prezice agresivitatea meningiomului mai bine decât criteriile microscopice clasice cancer.gov. Practic, acest semn molecular ar putea ajuta la deciziile terapeutice: unii pacienți pot evita radioterapia adjuvantă dacă semnătura arată risc scăzut, iar alții pot fi tratați mai agresiv din start dacă semnătura indică un risc mare de recurență cancer.gov. Acest tip de analiză genomică (parte din medicina de precizie) este un exemplu de direcție de cercetare promițătoare.
- Terapia țintită și imunoterapia: Numeroase studii clinice testează noi medicamente. Inhibitorii de tirozin-kinază, mTOR (everolimus), sau ale căii SMO (vismodegib) sunt investigați la meningiom. Combinația everolimus–octreotid (analog de somatostatin) a arătat activitate la formele agresive pubmed.ncbi.nlm.nih.gov. Inhibitorii de checkpoint (nivolumab, pembrolizumab, ipilimumab) sunt testați în meningioamele recurente de grad înalt; deși rezultatele inițiale sunt încă exploratorii, există speranța că sistemul imunitar poate fi antrenat să controleze tumorile greu tratabile braintumor.org , braintumor.org. Alte terapii experimentale includ imunoterapii cu vaccinuri tumorale și terapia CAR-T (în studiu), precum și terapii bazate pe peptide radiomarcate (ex. ^177Lu-DOTATATE pentru meningioamele pozitive la receptori de somatostatin) braintumor.org , braintumor.org.
- Tehnici de imagistică și radioterapie avansate: Pe lângă RMN, scanările PET cu trasori specifici (ex. ^68Ga-DOTATATE PET) captează receptorii de somatostatin de pe meningiom, oferind informații suplimentare despre extensia tumorală pubmed.ncbi.nlm.nih.gov. De asemenea, radioterapia protonică și tehnicile moderne de intensitate modulate (IMRT, SRS avansată) sunt investigate pentru a crește eficacitatea în grade înalte, limitând totodată toxicitatea la țesuturile sănătoase. Unii cercetători studiază și noi scheme de dozare – radioterapia fracționată de mare doză (SRT) sau radiochirurgia combinată cu imunoterapie, pentru a îmbunătăți răspunsul tumoral.
Pe scurt, cercetările actuale urmăresc să personalizeze tratamentul meningiomului. Cu cât putem defini mai bine profilul molecular al tumorii, cu atât putem alege mai eficient între intervenția chirurgicală, radioterapie și terapii sistemice.
Apariția ghidurilor internaționale (EANO, NCCN) reflectă nevoia integrării datelor moleculare și a noilor terapii în practica clinică.
Deși tratamentul standard (chirurgie/radioterapie) rămâne fundamentul, noile descoperiri genice, imunologice și tehnologice promit să îmbunătățească prognosticul, în special pentru formele agresive de meningiom.
Ce simptome necesită consult medical imediat?
-
Dureri de cap persistente, mai ales dimineața sau la efort – acestea pot indica o presiune crescută intracraniană provocată de tumoră.
-
Modificări de vedere – vedere încețoșată, vedere dublă, pierderea vederii periferice. Pot fi semne ale comprimării nervului optic.
-
Amețeli, probleme de echilibru, tulburări de coordonare a mișcărilor – pot indica o compresie a creierului sau a nervilor cranieni.
-
Pierderea auzului, perceperea unui sunet constant în ureche – pot fi cauzate de afecțiuni ale nervului auditiv.
-
Slăbiciune sau amorțeală pe o parte a corpului – poate rezulta din compresia zonelor responsabile de mișcare.
-
Modificări cognitive, de memorie, de dispoziție – pot fi semne ale unor leziuni ale lobilor frontali sau temporali.
Apariția oricăror simptome persistente sau îngrijorătoare la nivelul capului/creierului trebuie evaluată de urgență de un medic.
Meningioamele depistate în stadii incipiente au cele mai bune șanse de tratament eficient.
Cat durează operația de meningiom?
Durata intervenției chirurgicale pentru îndepărtarea unui meningiom variază în funcție de mai mulți factori:
-
Dimensiunea tumorii – meningioamele mai mari necesită intervenții mai lungi.
-
Localizarea tumorii – cele situate în zone delicate, cum ar fi baza craniului, durează mai mult.
-
Tipul de abord chirurgical – durata diferă în funcție de calea de acces (craniotomie, abord trans-sphenoidal etc).
-
Complexitatea disecției țesuturilor înconjurătoare.
-
Utilizarea de tehnici microchirurgicale.
-
Experiența neurochirurgului în astfel de intervenții.
În medie, operațiile pentru îndepărtarea meningioamelor durează între 2 și 6 ore. Meningioamele mici, situate în locuri accesibile, pot dura 2-3 ore. Cazurile complexe pot ajunge la intervenții de 8-12 ore.
După intervenție urmează o perioadă de monitorizare post-operatorie de câteva ore în unitatea de terapie intensivă. Majoritatea pacienților rămân spitalizați încă 1-2 săptămâni pentru recuperare.
Este important să se discute cu neurochirurgul despre durata estimată a intervenției în cazul particular al fiecărui pacient.
Recuperare dupa operatie de meningiom
- Perioada de spitalizare este în medie 1-2 săptămâni după intervenția chirurgicală.
- În primele zile este nevoie de odihnă la pat, hidratare corespunzătoare și monitorizarea funcțiilor vitale.
- Se administrează medicație pentru durere și prevenirea infecțiilor.
- Se elimină treptat drenajul post-operator și se scoate pansamentul.
- Se reia progresiv alimentația normală și se reîncepe mersul cu asistență.
- După externare sunt recomandate repausul și evitarea eforturilor fizice intense timp de 4-6 săptămâni.
- Pot fi necesare kinetoterapie și fizioterapie pentru recuperarea completă a mobilității și coordonării.
- Se continuă tratamentul medicamentos prescris pentru prevenirea complicațiilor.
- Sunt programate controale medicale periodice și examinări imagistice pentru monitorizarea evoluției.
- Activitățile cotidiene și munca se reiau treptat, la recomandarea medicului.
- Perioada totală de recuperare diferă în funcție de extinderea intervenției chirurgicale.
O recuperare completă după intervenția pentru meningiom poate dura mai multe luni, necesitând răbdare din partea pacientului. Respectarea indicațiilor medicale crește șansele unei recuperări optime.
Dimensiuni Meningiom
Dimensiunile unui meningiom pot varia în funcție de diverși factori, incluzând localizarea, tipul și gradul tumorii. Iată ce indică rezultatele căutărilor:
-
Diametrul tumorilor variază între 3 și 65 mm, cu o medie de 20,4 mm [1].
-
Meningioamele pot deveni destul de mari, cu diametre de până la 5 cm, ceea ce nu este neobișnuit [2].
-
Meningioamele simptomatice tind să fie mai mari, cu un diametru mediu de 4,6 cm (aproximativ dimensiunea unei mingi de golf) [6].
-
Meningioame descoperite incidental au un diametru mediu de 2,3 cm (aproximativ dimensiunea unui drops) [6].
-
Meningioamele pot fi considerate mari dacă au peste 3 cm în diametru sau gigantice dacă depășesc 5 cm [6].
-
Dimensiunea meningiomului poate influența opțiunile terapeutice. Meningioamele mici, descoperite incidental, sunt adesea monitorizate prin imagistică serială, fără a necesita tratament decât dacă cresc semnificativ [6].
Este important de reținut că dimensiunea meningiomului nu determină singură gravitatea afecțiunii.
Localizarea, tipul și gradul tumorii joacă și ele un rol semnificativ în prognostic și tratament. De aceea, este esențială consultarea unui medic specialist pentru un diagnostic adecvat și un plan de tratament personalizat.
Referinte:
[1] https://www.ncbi.nlm.nih.gov/pmc/articles/PMC3228385/
[2] https://www.uclahealth.org/medical-services/neurosurgery/conditions-treated/meningioma-brain-tumor
[3] https://jamanetwork.com/journals/jamaneurology/fullarticle/579921
[4] https://emedicine.medscape.com/article/1156552-overview
[5] https://www.ncbi.nlm.nih.gov/pmc/articles/PMC8184033/
[6] https://www.aaroncohen-gadol.com/patients/meningioma/types/subtypes-and-locations
Dimensiunea meningioamelor este un factor important în determinarea simptomelor, tratamentului și prognosticului.
Iată o clasificare orientativă:
-
Meningioame mici – sub 2 cm diametru. De obicei asimptomatice, depistate întâmplător.
-
Meningioame medii – între 2 și 4 cm. Pot produce simptome ușoare de compresie cerebrală.
-
Meningioame mari – peste 4 cm diametru. Simptome pronunțate, necesită tratament urgent.
-
Meningioame gigante – peste 6-8 cm. Risc crescut de complicații severe.
Alte aspecte importante:
-
Localizarea tumorii influențează manifestările indiferent de dimensiuni.
-
Rate de creștere variabile – unele tumori mici cresc rapid.
-
Forme invazive pot afecta structuri adiacente.
-
Pot comprima structuri critice chiar dacă nu sunt foarte mari.
-
Dimensiunile nu reflectă întotdeauna caracterul benign/malign.
Evaluarea complexă imagistică și clinică este esențială, nu doar măsurarea tumorii. Meningioamele trebuie monitorizate periodic pentru identificarea din timp a creșterii dimensionale.
Alte Surse:
https://pubmed.ncbi.nlm.nih.gov/9576250/
https://www.ncbi.nlm.nih.gov/pmc/articles/PMC3337301/
https://www.moffitt.org/cancers/meningioma/survival-rate/
https://www.aaroncohen-gadol.com/patients/meningioma/survival/living-with-meningioma
https://www.medicinenet.com/how_serious_is_a_meningioma/article.htm
https://www.aaroncohen-gadol.com/patients/meningioma/survival/recovery-outlook
Disclaimer: Acest articol are scop informativ și educațional și nu trebuie interpretat ca sfat medical sau înlocuirea consultării cu un medic specialist. Orice decizie privind diagnosticul și tratamentul afecțiunilor medicale trebuie luată în urma consultării unui medic specialist. Autorul și platforma nu își asumă responsabilitatea pentru orice consecință a aplicării informațiilor prezentate în acest articol.


